ご存知ですか?
がんの放射線治療


みなさんはIMRTという言葉を聞いたことがありますか?
IMRTは放射線治療の手法の一つです。「Intensity Modulated Radiation Therapy」の各単語の頭文字をつなげた略称です。日本語だと「強度変調放射線治療」と言います。
・・・たぶんほとんどの人は意味不明ですよね。 このコラムではIMRTについて説明させて頂きます。本コラムが少しでもこの治療を理解していただく一助となれましたら幸いです。
目次
さて、IMRTを理解しようとすると、通常の放射線治療とは何かを知っておかなくてはいけません。
ほとんどの放射線治療はリニアックという機械を使って行われます。いろんな会社のいろんな機種があります。この機械の中で電気を使って放射線の一種であるX線というものを作ります。このリニアックから出てくるX線は大体均一な強さをしています。

上の図をみてください。これはリニアックの放射線の射出口からみた腫瘍の部分の模式図です。真ん中の三日月型の部分が腫瘍です。リニアックの一番外側にはマルチリーフコリメータ(MLC:エムエルシー)という薄い鉛の板が何枚も並んでいて、これが左右にスライドして動くことで上の図のように腫瘍の形状を大まかに作り、その中が均一に照射される仕組みになっています。
リニアックは放射線をいろんな角度から照射できるように射出口が回転できるようになっています。それを利用すると360度いろんな方向から照射できるわけです。あとはそれぞれの角度ごとに、そこから見える腫瘍の形状に合わせてMLCで照射野の形状を整えて照射していくことになります。
これが通常照射と呼ばれる手法です。
ではIMRTと通常照射は何が違うのでしょうか?
実はいろんな角度からマルチリーフコリメータで照射範囲の形を作って放射線を当てるのは一緒です。

また模式図で説明します。左の図は腸管(正常な照射したくない臓器:オレンジ)と腫瘍(紫)です。腫瘍が腸管を取り囲んでいる形をイメージしています。治療装置はこの周囲をぐるりと回転して好きな角度から放射線を当てていきます。でも右の図を見てみてください。こんな位置関係で正常臓器と腫瘍があるとどの角度から当てても正常臓器を避けることはできないんですね。左図の黄色い六角形が各方向からの放射線が重なっている部分です。ものの見事に腸管が入ってしまっていますね。
これは困りました。癌を倒すにはたくさん放射線を当てたいのに、多くの癌よりも腸管のほうが先に限界を超えることが多く、これでは十分な照射ができません。
IMRTではこれを解決するために、各方向からの照射中もマルチリーフコリメータを動かしていきます。

上の図は先ほど説明した通常照射の図です。
角度を合わせて、MLCで形状を作ってから照射していきます。
そうすると中は均一(図では赤一色)に照射されていく、というのが通常照射の話でした。
IMRTは角度を合わせたあと、下段の左図の状態から照射開始します。そして照射中に色の濃いMLCだけちょっとずつ矢印の方向に動いていきます。そうすると初めから隙間が開いている腫瘍の左端の部分は強く、最後の方にちょっとだけ当たる右端の方は弱く(緑とか青い色のところです)放射線があたるわけです。こうやって一つの照射方向の中で放射線の強さ(強度)を変えていく(変調)から「強度変調放射線治療」という名前なんですね。
さて、話を単純にしてお話しましたが、実際にはMLCは1本ごとに細かく制御されていますので、図のような単純なグラデーションではなく、もっと複雑なグラデーションを作ることができます。さらにいろんな角度からの照射を組み合わせると、通常照射ではできないような複雑な照射形状を作れることになります。

こんな感じで腸管だけ避ける!みたいな芸当ができるようになります。もちろん限度はありますが、これで複雑な形状をした腫瘍にも従来よりも多く放射線を当てることが可能となります。また、腫瘍に当てる放射線の量が通常照射と変わらなくても、IMRTを使うと正常臓器への線量を減らすことが期待でき、副作用リスクの低減が可能です。
これがIMRTと言う治療の概略になります。
IMRTの適応かどうかは実はスパッと言い切ることが難しいです。
実際は個々の症例について放射線治療医の判断を受けていただく必要がありますが、ざっくりしたイメージだけでもお伝えできたらと思います。IMRTは技術的には通常照射と置き換えることがほぼ可能な治療と言えます。
治療台の上で20-30分の安静を保つことができれば、照射自体はほぼ可能です。
しかし、現実的には放射線治療の全てがIMRTに置き換わってはいません。通常照射のほうがまだまだ多いのです。当院もIMRTの割合は平均すると50%以下です。
それはなぜでしょうか?
IMRTを実施する上で大きな基準の一つに保険適応があります。
日本ではIMRTは平成22年以降「限局性固形悪性腫瘍」 に対して健康保険が適用可能です。すごく難しい言い方ですけれど、要は「あんまり遠くに転移していない癌」が対象と思ってもらうと良いでしょう。
例えば、
「リンパ節にも他の臓器にも転移のない癌」だったなら、すごく良い適応になります。この段階だと手術の方が選択されることもありますが、放射線が効きやすい癌や手術が難しい場所だとIMRTで放射線を当てる方を選択されることも多くあります。


この画像は前立腺癌に対して通常照射(左)とIMRT(右)で比較したものです。
IMRTの方は画面下側がへこんでいるのがわかるかと思います。高線量の部分(色の赤いところ)がうまいこと直腸を避けています。
IMRTが広く使われるようになって、前立腺癌は通常照射の頃よりもたくさんの放射線を当てることができるようになり、治療成績が向上した癌の一つです。
「リンパ節転移のある癌」も対象になることが多いです。ただあんまり遠いところのリンパ節への転移は遠隔転移として扱われることがあるので、適応外になることもあります。頭頸部の癌などは首のリンパ節が複数腫れていてもIMRTで全部まとめて照射することが多いですね。原発部とまとめて照射できるならば適応になることが多い印象です。
他にも「原発部・リンパ節は手術とかで治療したあと、1ヶ所とか少数だけ再発した腫瘍」なども「限局している」といえるような状況ならば適応になることがあります。


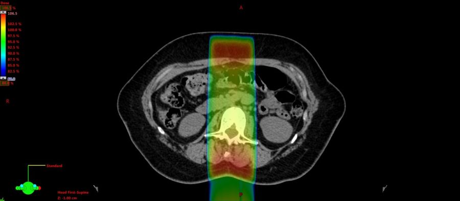
この画像も先ほどと同じ通常照射(左)とIMRT(右)で比較したものです。
原発巣(おおもとの癌)は退治したのですが、時間を空けて脊椎に転移が1ヶ所だけ出てきたパターンです。実は分類的には定位照射というジャンルなのですが、技術的にはIMRTと同様の方法で行われています。
IMRTの方は線量分布の真ん中がポッカリと開いているのが見えますか?ここは脊髄という部分で、放射線が当たりすぎて障害が起きると下半身麻痺などが起きてしまう部分なのです。我々としては何がなんでも障害を出したくない部分です。従来の通常照射ではここを避けることは不可能でした。そのため、脊椎病変への照射はほどほどの線量に抑えることが主流でしたが、そうなると病変を制御できないことも多くありました。IMRTの技術を使うことで前立腺癌同様にリスク臓器の線量を抑えつつ、投与線量を増加させ、病変制御率を向上させることができるようになりました。
上で述べた通り転移のない前立腺癌は非常に良い適応です。そのほか頭頸部癌・中枢神経腫瘍などの初回治療は適応になることが多いです。
それ以外の癌でも上記の健康保険の条件を満たしていたら、理屈上は適応可能になります。つまり転移していない初期の癌は頭の先から足の先まで適応可能といえるでしょう。
しかし実際は「わざわざIMRTでやるメリットがあるか」をしっかり考えないと手間ばかり増えてしまうことにもなります。そのため、我々でも適応に悩むことも多いので、当院では私や部長を含めたカンファレンスで個別に適応を検討しています。詳しくは次に書きますが、「IMRTできる」=「やっていい」ではないので難しいです。
結局のところ、実際には主治医に「おすすめの治療はどうか?」など意見を聞いてみるのが大事ですね。
IMRTを受ける上での注意点は結構あります。
一つは開始までが通常照射よりも時間がかかります。理由としてIMRTは機械の動きが複雑で、計算や検証により多くの労力が必要なためです。そのため開始を急ぎたいときのスピード感は通常照射に軍配が上がります。
体の固定も通常照射よりも気を使います。人によっては窮屈だと感じる場合もあるでしょう。動いてしまうと強度変調がかかった放射線ビームがずれて当たってしまうので、痛みなどでじっと出来ない人も対応困難なことが多いです。
また、照射範囲を癌に集中できると言うことは、通常照射では当たっていた部分に放射線が当たらなくなるとも言い換えることができます。例えば、画像上は問題なかったのでわざわざ放射線が当たらないように避けた臓器に癌が浸潤していたらどうでしょう?そこから再発してしまうこともあります。つまり癌が我々の想定よりも広がっていた場合、癌の撃ち漏らしを起こす可能性もあるのです。
照射したい線量に対して、問題になるような正常臓器が近くにない場合などもIMRTで避ける必要がないわけですからIMRTの意味はあまりなくなるでしょう。
そのため先ほど書きました「IMRTできる」=「やっていい」ではなく、慎重に判断をする必要があります。IMRTはあくまで一手段であり、万能ではないこと・もしかしたら通常照射のほうが良いこともあると知っておいて下さい。
不安なことも書きましたが、IMRTはとても良い治療です。問題点の一つである時間がかかるという点は現在ソフトウェア・ハードウェアの両方の観点からどんどん改善されてきています。(昔は線量の計算に数時間〜半日かかっていたのが、今は数分でできるようになっています!)
将来的には照射に至るまでの行程でさまざまな効率化がなされて、通常照射とそう変わらないスピード感で照射することができるようになるかもしれませんね。
さらに今後保険適応の拡大などもあるかもしれません。IMRTは平成20年に「頭頸部腫瘍・前立腺腫瘍・中枢神経腫瘍」に限定して保険適応がスタートしましたが、平成22年には上記のように「限局性固形悪性腫瘍」に適応が拡大されています。今後さまざまな領域の癌にIMRTでの治療を提供できるようになれば良いなあ、と思います。
IMRTの治療の流れをご説明します。あくまで一例ですのでご参考までに。
個々人や癌の種類に応じていろんなパターンがあります。
今回はIMRTのことについて、お話をしてきました。
何となく通常照射とIMRTの違いがわかってもらえたでしょうか?けっこう難しい内容もお話しましたので、全部わからなくてももちろん問題ありません。
でも知っておいてほしい大事なことだけ、最後にまとめておきましょう。
以上、IMRTのお話しでした。
放射線治療はIMRTと通常照射以外にも色々な治療方法があります。小線源治療、粒子線治療、BNCTなどなど。どのような方法が良いかは個々の症例によって変わります。皆様もわからないことがあれば担当の医師にぜひご質問ください。
皆様の治療選択がより良いものであるようにお祈りしております。
専門分野:放射線治療全般、小線源治療
専門医資格:放射線科専門医、放射線治療専門医、放射線腫瘍学会認定医
最新コラム記事
〒567-0085 大阪府茨木市彩都あさぎ7丁目2番18号
お電話でのお問い合わせ